Перивентрикулярный очаг головного мозга у взрослых представляет собой область поражения, расположенную вблизи желудочков головного мозга. Этот тип очага может быть связан с различными неврологическими заболеваниями, такими как инсульт, сосудистая деменция, множественная склероз и другие.
В следующих разделах мы рассмотрим основные причины появления перивентрикулярных очагов, симптомы, диагностику и методы лечения данного состояния. Узнаете, каким образом выявляются подобные очаги, какие существуют стратегии лечения и как можно предотвратить их возникновение. Погрузитесь в мир нейрологии и узнайте все об этом интересном и важном для здоровья человека явлении.
Перивентрикулярный очаг головного мозга у взрослых представляет собой область изменённых тканей, которая находится вблизи желудочков мозга. Этот вид очагов может возникать вследствие различных патологических процессов, таких как инфекции, опухоли, инсульты и другие заболевания.

Причины возникновения перивентрикулярных очагов
Перивентрикулярные очаги могут быть вызваны различными факторами, включая:
- Воспалительные процессы в мозге
- Сосудистые нарушения, такие как инсульты
- Патологии развития или наследственные заболевания
Симптомы и диагностика
Симптомы перивентрикулярных очагов могут включать головные боли, изменения в работе мозга, эпилептические припадки и другие неврологические симптомы. Для диагностики таких очагов обычно используются различные методы обследования, такие как МРТ или КТ головного мозга.
Важно отметить, что перивентрикулярные очаги требуют внимательного наблюдения и лечения невролога или нейрохирурга, в зависимости от подозрения на конкретное заболевание.
В современной медицине доступны различные методы лечения перивентрикулярных очагов, включая хирургическое вмешательство, лекарственную терапию или радиохирургию. Поэтому важно своевременно обращаться к врачу при появлении подозрительных симптомов и проводить все необходимые обследования.
Степени и симптомы
Поскольку речь идет о термине, описывающем состояние, лейкоареоз сам по себе не проявляет симптомов, однако различные степени поражения нервных тканей связаны с соответствующей клинической картиной.
Основные проявления, связанные с различными степенями лейкоареоза: ишемический инсульт, нарушения когнитивных функций, нарушения походки, изменения настроения и нарушения функции сфинктера.
Выделяют следующие степени лейкоареоза от 0 до III:
– 0 и I степени — относительно легкие и не сопровождаются известными специфическими симптомами.
– II и особенно III степени являются более серьезными. Этот вид лейкоареоза затрагивает большую область белого вещества головного мозга, повреждает оба полушария и имеет широкое распространение по всему головному мозгу. Заболевание прогрессирует. Обычно его обнаруживают у пациентов с психическими расстройствами, связанными с неврологическими повреждениями или симптомами деменции.
Диагностика
Как уже было упомянуто, лейкоареоз можно увидеть на нейроизображениях КТ и МРТ головного мозга, сниженной и повышенной частотой соответственно.
Серия МРТ головного мозга включает в себя T2 и FLAIR и является наиболее распространенным методом для обнаружения лейкоареоза.
Оценочная шкала Фазекаса часто используется для определения степени поражения белого вещества на изображениях МРТ:
– никаких поражений; – некоторые поражения; – поражения связываются; – поражения, затрагивающие специфические области мозга.

Оценочная шкала Фазекаса.
Мы часто наблюдаем лейкоареоз в белом веществе мозга на горизонтальных МРТ-срезах при сигнале T2. Это наиболее часто наблюдается в 1-й степени и реже во 2-й степени у пациентов с диагнозами патологий, связанных с заболеванием концевой нити или нейро-черепно-позвоночным синдромом. Количество таких наблюдений составляет около 45% от общей базы данных и включает в себя все возрастные группы.
Очаги глиоза
Увеличение ткани происходит из-за гибели нервных клеток. Этот процесс может быть разнообразным или ограниченным, в зависимости от причины заболевания. Первый тип характеризуется отсутствием ограниченных патологически измененных участков. Главной причиной возникновения являются распространенные повреждения центральной нервной системы (головного и спинного мозга).
Ограниченный глиоз отличается наличием отдельных или множественных участков с четкой границей. Расположение и размеры патологических участков зависят от причины гибели нервных клеток.
Отдельные очаги
Ограниченная область роста глиальных клеток может быть результатом старения, хронического повышения артериального давления, локализованного воспалительного процесса. У детей причиной патологии является повреждение при родах, и измененный участок чаще всего располагается в левой или правой височной доле.
Изолированные очаги болезни не сопровождаются клиническими симптомами, их можно обнаружить при проведении ангиографии сосудов головного мозга, МРТ или КТ. У пожилых людей гибель нейронов обусловлена естественными причинами, и в таком случае лечение направлено на замедление этого процесса.
Многочисленные очаги
Острые и хронические нарушения кровообращения в головном мозге, а также травмы приводят к формированию нескольких зон глиоза. При развитии патологии, приведшей к гибели нейронов, количество и размеры измененных участков могут увеличиваться.
Многочисленные очаги глиоза вызывают нарушения работы центральной нервной системы, что усиливает клинические проявления основного заболевания. Чаще всего причинами образования трех и более пораженных участков становятся инсульты, инфаркты, атеросклероз и сдавление сосудов головного мозга.
![]()
Глиоза, которую можно увидеть на МРТ, может проявляться в виде множественных очагов (показанных стрелками).
Как выглядит глиоза на МРТ?
Магнитно-резонансная томография является наиболее эффективным методом диагностики заболеваний головного мозга. Этот метод позволяет визуализировать самые незначительные изменения в структуре мозгового вещества, что позволяет определить размеры и местоположение патологического участка с большей точностью.
Единичные очаги глиоза, которые можно увидеть на МРТ головного мозга с использованием Т1-взвешенных изображений, выглядят как светлые пятна с четкой границей. Изменение цвета указывает на дистрофию белого вещества и патологическое увеличение числа глиальных клеток.
Одним из преимуществ МРТ является возможность оценки состояния окружающих глиозный очаг тканей, а также кровоснабжения сканируемой области, включая супратенториальное пространство. Слойные изображения позволяют визуализировать изменения в структурах головного мозга и нарушения в функционировании сосудистой системы. МРТ помогает вовремя диагностировать патологические процессы, приводящие к гибели нейронов, и способствует назначению эффективного лечения.
На томограммах глиоза сосудистого происхождения видно нарушение проходимости сосудов головного мозга, участки сдавления и сужение просвета кровеносных сосудов. Метод отражает изменения, характерные для демиелинизирующих, некротических, ишемических и воспалительных процессов.
Магнитно-резонансная томография является полезным методом обнаружения измененных участков в передних долях мозга и возможности выявления глиоза, который расположен в области желудочков головного мозга. Небольшие очаги диаметром от 3 мм в пространстве над наднадценториальной областью легко видны на МРТ снимках.
Стадии развития лейкоареоза
Согласно современной медицинской классификации, гидроцефалус подразделяется на следующие стадии в соответствии с прогрессирующим характером заболевания:
Первая стадия. Пациенты жалуются на наличие шума в ушах, головокружение и другие незначительные симптомы.
Вторая стадия. Болезнь затрагивает двигательные и психические функции. Развиваются когнитивные нарушения.
Третья стадия. Возможно возникновение инвалидизации у пациента.
Заболевание возможно классифицировать только на основе результатов визуализации.
Способы диагностики
Упомянутое явление само по себе становится диагностическим признаком. В случае обнаружения таких изменений врачу необходимо провести опрос пациента, чтобы выявить его жалобы и собрать анамнез. Также врач оценивает неврологический статус для оценки состояния головного мозга и проводит начальный осмотр.
- магнитно-резонансная томография
- компьютерная томография
- УЗДГ сосудов головного мозга
Специалисты в области лучевой диагностики в клиниках ЦМРТ ставят диагноз на основе результатов сканирования. На снимке можно обнаружить перивентрикулярный лейкоареоз или патологию в другой части органа.
Патогенез
Механизм появления лейкоареоза головного мозга точно неизвестен. Основными причинами развития данного состояния считают наличие стеноза просвета артерии, повышенную жесткость артериальной стенки, нарушение функции эндотелия и ограничение венозного оттока. Такие изменения в сосудах возникают на фоне старения, гипертонии, диабета и генетических факторов.
Это прямо способствует утрате саморегуляции кровотока в мозге, повышению венозного давления, повреждению гематоэнцефалического барьера и недостаточному кровоснабжению. В результате возникает окислительный стресс и гибель олигодендроцитов, происходит разрушение миелиновой оболочки и повреждение нервных волокон.
Классификация
Тяжесть головного лейкоареоза оценивается объективно по его характеру на томографических снимках. Разработаны различные шкалы оценки, которые могут отличаться по сложности и удобству использования. С развитием методов МРТ широко применяется шкала Фазекас, созданная в 1998 году. В соответствии с этой шкалой выделяют следующие степени лейкоареоза:
- Легкий – наблюдаются отдельные очаги поражения на МРТ.
- Умеренный – отмечается увеличение размеров очагов и их слияние.
- Тяжелый тип лейкоареоза характеризуется наличием обширных зон сливных поражений.
Соответственно локализации патологических изменений, можно выделить два основных типа лейкоареоза головного мозга:
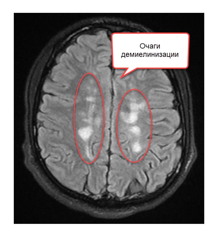
- Перивентрикулярный тип характеризуется наличием очагов или целых областей, расположенных вокруг боковых желудочков головного мозга. На МРТ они хорошо заметны по периферии передних рогов в виде типичной «шапочки».
- Субкортикальный тип характеризуется рассеяными зонами поражения в подкорковом белом веществе. Зачастую данный тип сочетается с перивентрикулярным поражением.

В лейкоареозе наблюдаются когнитивные нарушения.
Диагностика
Постановка диагноза перивентрикулярная лейкомаляция в раннем детском возрасте затруднена из-за большого количества противоречивых симптомов. Для точного определения болезни обычно используются следующие методы диагностики:
При осмотре врач обнаруживает гипертонус мышц, асимметрию и усиление рефлексов, двигательные расстройства, характерные для болезни Литтля.
При обнаружении лейкоареоза применяются МРТ и КТ. Эти методы позволяют увидеть очаги деградации белого вещества и кисты в мозге.
Используется для оценки мозгового кровотока и степени гипоксии. Применяется дуплексное сканирование и допплерография.
Диагностику и лечение заболевания проводит детский невропатолог. При необходимости он направляет ребенка на консультацию к другим специалистам, включая офтальмолога и отоларинголога.
В соответствии с клиническими показаниями, советуется рассмотреть возможность проведения электроэнцефалографии (ЭЭГ) у ребенка. Однако у детей в возрасте до трех лет данное исследование может быть недостаточно информативным, так как его результаты могут быть искажены в результате возникновения сильного беспокойства и манипуляций.
Лечение
При лейкоареозе повреждения мозга являются необратимыми, поэтому основной упор в лечении делается на предотвращение возникновения новых очагов поражения и коррекцию симптомов, связанных с заболеванием. Лечение обычно включает следующие группы лекарственных препаратов:
- Для улучшения питания головного мозга и повышения когнитивных навыков применяются нейрометаболиты.
- Антиконвульсанты помогают предотвратить судорожный синдром.
- Глюкокортикостероиды помогают справиться с повышенным внутричерепным давлением и могут дополняться диуретиками.
- Для улучшения общего обмена веществ и помощи мозгу в борьбе с гипоксией используются капельницы с витаминами, глюкозой и электролитами.
Кроме этого, используются физиотерапевтические методы (лечебная физкультура, массаж, аппаратное лечение). При серьезных нарушениях двигательной функции применяются специальные костыли и коляски. Отставание в развитии исправляется занятиями с логопедом и дефектологом, а при нарушении зрения или слуха необходима работа с сурдопедагогом и тифлопедагогом.








