Статья носит информационный характер, не является индивидуальной медицинской рекомендацией. Имеются противопоказания, необходима консультация специалиста.
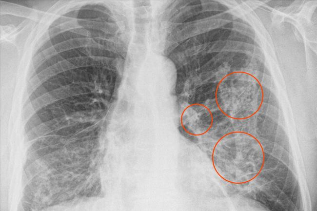
Плеврод спайки на флюорографии у ребенка могут быть признаком наличия воспалительного процесса в легких. Это состояние требует дополнительного обследования и наблюдения специалистов для выявления причины и назначения соответствующего лечения.
Далее в статье мы рассмотрим возможные причины и симптомы воспаления легких у детей, методы диагностики и лечения данного состояния. Также мы расскажем о мерах профилактики и важности своевременного обращения к врачу при первых признаках проблем с дыхательной системой. Погрузитесь в мир заботы о здоровье вашего малыша и узнайте, как обеспечить ему максимальное благополучие.
Плеврод спайки — это наблюдаемое на флюорографии явление, при котором на дыхательной пленке (плевре) образуются спайки. Спайки могут возникать как на одной, так и на обеих сторонах легких, что может быть индикативным признаком различных заболеваний легких.

Причины возникновения плеврод спаек у ребенка
Плеврод спайки могут быть вызваны различными факторами, такими как:
- Воспалительные процессы в легких, такие как пневмония или туберкулез;
- Травмы или хирургические вмешательства в области грудной клетки;
- Онкологические заболевания;
- Длительный кашель или хронические заболевания дыхательной системы.
Диагностика и лечение
Для установления точного диагноза и определения причины плеврод спаек у ребенка может потребоваться комплексное обследование, включающее в себя флюорографию, компьютерную томографию (КТ) и другие методы исследования легких.
Лечение зависит от основного заболевания, вызвавшего образование спаек на плевре. В некоторых случаях может потребоваться как медикаментозная терапия, так и хирургическое вмешательство.
Поэтому важно обратиться за консультацией к врачу-пульмонологу или детскому терапевту при обнаружении плеврод спаек у ребенка на флюорографии.
У детей плевриты практически не возникают самостоятельно, а являются осложнением заболеваний дыхательной системы или системных процессов. Особенностью детского возраста является более высокая частота гнойного воспаления, которое составляет 2/3 всех случаев выпотного плеврита у детей до 5 лет и до 25% в возрастной группе 6-10 лет. Плевральное воспаление характеризуется серьезным протеканием и требует максимально ранней диагностики, поэтому вопросы лечебной тактики остаются важными в современной педиатрии.

Необходимые методы диагностики плеврита у детей
Для определения типа спайки в плевральной области применяются следующие диагностические методы:
— Просмотр анамнеза и анализ жалоб пациента;
— Физическое обследование;
— Лабораторные исследования;
— Инструментальное обследование.
Лабораторные исследования включают анализ крови (общий и газовый состав), мочи и бактериологический анализ мокроты.
Инструментальные методы исследования:
— рентгенологическое исследование с помощью флюорографии;
— рентгенография для выявления заболеваний;
— компьютерная томография (КТ) для получения детальных изображений;
— магнитно-резонансная томография (МРТ) для более точной диагностики;
— спирография для оценки функции легких;
— биопсия тканей легкого для получения образцов для дальнейшего анализа.

Плеврит может возникать по разным причинам. Один из таких причин — инфекционный плеврит. Он может быть вызван различными микроорганизмами, такими как пневмококки, стафилококки, гемофильная палочка, микобактерия туберкулеза, стрептококки, паразиты и грибы. Обычно этот вид плеврита возникает в результате осложнений после простуды, пневмонии, туберкулеза и других инфекционных заболеваний.
Есть и другие причины, не связанные с инфекцией, которые могут вызывать плеврит:
- аутоиммунные заболевания, такие как системная склеродермия и васкулиты;
- злокачественные опухоли органов дыхания или метастазы в полости плевры;
- тромбоэмболия легочной артерии;
- постинфарктный синдром;
- заболевания желудочно-кишечного тракта;
- перенесенные травмы;
- воздействие химических агентов;
- ожоги;
- лучевая терапия и другие.
Особенно опасен плеврит при онкологии, так как он значительно ухудшает состояние больного.
Болезнь может иметь различные проявления: при экссудативном плеврите происходит скопление жидкости между листками плевры, а при сухом плеврите на плевральной поверхности наблюдается отложение белкового вещества (фибрина). Возможен гнойный плеврит, при котором в плевральной полости скапливается гной.
Классификация данного заболевания проводится в клинической практике и выпот может быть как осложнением при патологиях легких, грудной клетки, средостения, диафрагмы, так и проявлением других заболеваний (например, сердечно-сосудистых, диффузных заболеваний соединительной ткани, заболеваний почек и т.д.). Поэтому при использовании Международной классификации болезней (МКБ-10) для кодирования данного состояния применяется код основного заболевания, а в случае необходимости обозначения плеврального выпота как осложнения добавляется код J91 «Плевральный выпот при состояниях, классифицированных в других рубриках».
Исключение составляют заболевания, такие как туберкулезный плеврит, травматический гемоторакс, гнойный плеврит или эмпиема плевры. По характеру выделения (выпота) и его присутствию различают экссудативный плеврит (гнойный, серозно-гнойный, серозный, серозно-фибриновый, гнилостный, геморрагический, смешанный) и фибринозный плеврит.
По распределению выделения различают общий (тотальный или распространенный) плеврит и локальный (диафрагмальный, верхушечный, пристеночный, междолевой, парамедиастинальный, костодиафрагмальный) плеврит.
По характеру протекания заболевание разделяется на острый, подострый и хронический плеврит.
Обычно переход из острого плеврита в подострый происходит в течение 4 недель, а из подострого в хронический – в течение полугода.
Протекание плеврита включает три фазы:
В начальной стадии плеврита происходит расширение кровеносных сосудов плевры, что приводит к увеличенному образованию плевральной жидкости. Однако, лимфатическая система все еще выполняет свои функции и излишняя жидкость своевременно удаляется из плевры.
Во второй фазе плеврита при воспалении образуются спайки в плевре, что нарушает отток жидкости. Если лечение не назначено или не дает ожидаемых результатов, то плевральная жидкость и гной начинают накапливаться в плевральной полости.
Третья фаза – это стадия выздоровления, во время которой очаги воспаления рассасываются. Иногда вокруг них образуется фиброзная ткань, которая действует как «барьер» между «опасной зоной» и здоровыми тканями. В таких случаях может развиться хроническая форма плеврита.
Характерные симптомы сухого плеврита.
- Боль в передней, боковой части грудной клетки, распространяющаяся в плечо, ключицу и шею. Характер боли острый, колющий. Дискомфорт усиливается при глубоком вдохе, кашле, смехе и наклоне туловища в здоровую сторону. Многие пациенты отмечают, что вынуждены придерживаться определенного положения тела и ограничивать глубину вдоха.
- Сухой кашель, вызванный раздражением плевры.
- Учащенное, поверхностное дыхание.
- Симптомы общей интоксикации: озноб, потеря аппетита, усталость, слабость, снижение работоспособности и потливость в ночные часы.
- Возможно появление чувствительности мышц грудной клетки, особенно при сдавливании.
Характерные признаки экссудативного плеврита.
- Боли в одной части грудной клетки, мучительный кашель, ощущение тяжести и стесненности в груди.
- Одышка, поверхностное дыхание, учащенный пульс.
- Бледность кожи, цианоз (синюшность слизистых оболочек и кожи).
- Длительное повышение температуры, слабость, потливость, сонливость.
- При вдохе можно заметить, что одна половина грудной клетки немного отстает.
- Высокая температура (до 40°C).
- Бледность кожных покровов: кожа на ощупь холодная и влажная.
- Затрудненное дыхание: человеку трудно дышать, он почти все время находится в вынужденной позе, при которой дышать немного проще.
- Сильный кашель и одышка.
- Болезненные ощущения в грудной клетке.
- Ослабление, мигрень.
Методы лечения
Лечение плеврита назначается по индивидуальным показаниям, учитывая причину заболевания, текущие симптомы и наличие осложнений. Основные цели терапии включают:
- уничтожение источника патологии;
- повышение самочувствия пациента;
- предотвращение возникновения осложнений.
Лечение плеврита осуществляется консервативными методами, то есть с использованием лекарственных препаратов. Дозировка, частота и продолжительность приема лекарств определяются врачом индивидуально. В зависимости от причины заболевания могут применяться следующие препараты:
- антибиотики;
- противовирусные средства;
- противогрибковые препараты;
- противопаразитарные препараты;
- кортикостероиды — при аутоиммунной этиологии.
Лечение симптомов направлено на устранение проявлений болезни и нормализацию функции дыхания. Для этого применяются:
- растворы для детоксикации;
- анальгетики без наркотического действия;
- противовоспалительные средства без стероидов;
- ферменты, которые стимулируют рассасывание фибриновых отложений;
- иммуномодуляторы.
Дополнительные методы лечения плеврита направлены на усиление эффекта основной терапии, ускорение реабилитации и предотвращение рецидивов. К ним относятся:
- Применение физиотерапевтических методов: лазеротерапия, магнитотерапия, ударно-волновая терапия, грязелечение;
- Осуществление лечебной гимнастики, особенно упражнений, направленных на улучшение дыхательной функции;
- Рекомендация санаторно-курортного лечения.
Домашние средства лечения
При сухом остром плеврите пациенту рекомендуется соблюдать покой. Для снятия сильной боли рекомендуется использовать горчичники, теплые компрессы или плотное бинтование груди. Важно помнить о необходимости консультации с врачом перед применением любых средств.
Прогноз при гнойном или онкологическом плеврите неблагоприятный. Если образуется выпот, для его лечения потребуется не менее 2-4 недель.
Пациенты, которые перенесли данное заболевание, подлежат регистрации в диспансере. В течение следующих двух-трех лет проводится наблюдение за ними.
Профилактика
Для предотвращения рецидивов и избежания тяжелой боли при плеврите необходимо:
- избегать тяжелых и вредных рабочих нагрузок;
- предотвращать переохлаждение, ОРЗ, ОРВИ;
- потреблять питание, обогащенное витаминами;
- отказаться от курения.
Следование здоровому образу жизни, укрепление организма и иммунной системы помогают предотвратить легочный плеврит в дальнейшем.






